O Projeto de Lei nº 2.776/08, de autoria do Deputado Neilton Mulim, que pretende tornar obrigatória a presença de profissionais de odontologia em Unidades de Terapia Intensiva (UTI) e demais estabelecimentos de saúde que recebam pacientes em regime de internação, encontra-se em discussão no Congresso Nacional.
O Governo Federal aprova o projeto e o Ministério da Saúde salienta que ele vem complementar o programa de governo, com total apoio da presidência, inclusive da pessoa do Vice-Presidente José de Alencar que está empenhado e buscando apoiamento no Governo e no Congresso Nacional.
Os cirurgiões-dentistas em todo o país estão convictos de que suas participações nas equipes multiprofissionais dos hospitais podem contribuir, e muito, para agregar mais saúde, mais vida e menos custos nas UTIs dos nossos hospitais.
A nossa colega Dra. Edela Puricelli diz:
“Vamos apoiar essas iniciativas em prol da melhoria da assistência odontológica em Hospitais. Sempre haverá um primeiro passo para se prosseguir no aperfeiçoamento de idéias pioneiras. Esse é o momento de buscarmos apoio para termos a chance de desenvolvermos a melhor redação da lei e da regulamentação.”
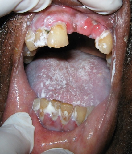
As fotos que ilustram esta matéria mostram bem a necessidade de que tanto falamos, são incontáveis cidadãos brasileiros: crianças, jovens, adultos, muitos deficientes, com problemas renais, cardíacos, mentais, com câncer, entre outras graves doenças; ricos, pobres, de todas as cores e raças que hoje se encontram internados em um hospital completamente dependentes e limitados, sem condições, na maioria das vezes, de falar nem mesmo de seus incômodos e de suas dores, muitos entubados e inconscientes.
O SOERGS apóia integralmente esta idéia e conclama a todos os colegas a entrarem em contato com seus representantes em Brasília para solicitar dos mesmos a aprovação do PL.
Participe voce também, entre com o SOERGS nesta luta.


